
يتعين على أطباء الأسنان في الظروف الطبيعية علاج تسوس الأسنان بوضع حشو مصنوع من مزيج من مسحوق الزجاج والسيراميك
قال علماء إنه من الممكن تقوية الأسنان على نحو يجعلها تعالج نفسها ذاتيا بطريقة تضع حدا لعمليات حشو الأسنان التقليدية.
وأظهر فريق من جامعة كينجز كوليدج لندن أن استخدامهم لبعض المواد الكيمائية أدى إلى تحفيز الخلايا داخل لب الأسنان وعلاج ثقوب صغيرة أصابت أسنان الفئران.
واستطاع فريق العلماء استخدام إسفنجة قابلة للتحلل مشبعة بعقار دوائي ثم وضعها داخل تجويف الأسنان.
وأظهرت الدراسة التي نشرتها دورية “ساينس ريبورتس” أن نتائج التجربة أسفرت عن “علاج كامل وفعال وطبيعي”.
وتعد قدرة الأسنان على التجدد محدودة للغاية، إذ يمكنها إنتاج شريط رقيق من عاج الأسنان، أي الطبقة الواقعة أسفل ميناء الأسنان، فقط في حالة كشف اللب الداخلي، لكن ذلك لا يمكنه علاج التجاويف الأكبر حجما.
ويتعين على أطباء الأسنان في الظروف الطبيعية علاج تسوس الأسنان بوضع حشو مصنوع من مزيج معدني أو مركب من مسحوق الزجاج والسيراميك.
وتحتاج هذه العملية في الغالب إلى استبدال عدة مرات خلال مراحل عمر الشخص، لذا يسعى العلماء إلى تعزيز قدرة التجدد الطبيعية للأسنان لعلاج الثقوب الأكبر حجما.
واكتشف العلماء أن العقار الدوائي الذي يطلق عليه “تايدغلوسيب” يعزز نشاط الخلايا الجذعية في لب الأسنان على نحو أمكنه إصلاح ثقوب بقدر 0.13 ميلليمتر في أسنان الفئران.
وتوضع إسفنجة مشبعة بالدواء في الثقب ثم توضع طبقة واقية فوق الجزء العلوي، ومع تحلل الإسفنجة حل محلها طبقة من عاج الأسنان كعلاج للأسنان التالفة.
علاج جديد
وقال أحد الباحثين ويدعى بول شارب:”تعتبر الإسفنجة قابلة للتحلل، وهذا شيء أساسي”.

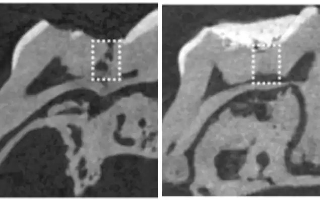
الي اليسار صورة من ثقب في أحد الضروس بعد العلاج لمدة 4 أسابيع والي اليمين صورة لنفس الضرس بعد العلاج لمدة 6 أسابيع
وأضاف : “تصبح المساحة التي كانت تحتلها الإسفنجة مليئة بالمعادن مع تجدد طبقة العاج، ومن ثم لا يوجد ما يعرقل نجاح هذه العملية”.
ويبحث فريق العلماء حاليا ما إذا كانت هذه الطريقة بإمكانها علاج ثقوب الأسنان الأكبر حجما.
وقال شارب إن العلاج الجديد قد يتاح قريبا، مضيفا أنه لايعتقد أن الأمر “سيستغرق وقتا طويلا جدا، فهو ثمرة جهود في الطب التجديدي وتنعقد آمال في طرحه في الأسواق مستقبلا خلال فترة من ثلاثة إلى خمسة أعوام”.
ويثير مجال الطب التجديدي، الذي يحفز الخلايا على الانقسام بسرعة لعلاج التلف، القلق بشأن مرض السرطان، إذ يغير عقار “تايدجلوسيب” مجموعة من الإشارات الكيمائية في الخلايا التي يطلق عليها “وينت” التي تتسبب في حدوث بعض الأورام.
لكن العلاج سبق وأجريت عليه تجارب على مرضى كعلاج محتمل للخرف.
وقال شارب :”أجريت تجارب السلامة وثمة دلائل مؤكدة بشكل متزايد تشير إلى نجاحنا”.
وتعتبر الدراسة أحدث طرق علاج الأسنان، وتعتقد مجموعة أخرى من جامعة كينغز في إمكانية استخدام الكهرباء لتقوية الأسنان من خلال دفع معادن في طبقة مينا الأسنان.
وتتدفق معادن مثل الكالسيوم والفوسفات بشكل طبيعي إلى الأسنان وخارجها مع وجود مادة حمضية، تنتجها بكتريا مضغ الطعام في الفم وهو ما يساعد على تسريب المعادن.
ووضع الفريق مزيجا من المعادن مع استخدام تيار كهربائي صغير لدفع المعادن بعمق إلى داخل الأسنان.
وقال الفريق إن طريقة “التعجيل الكهربائي والتمعدن التفاضلي” بإمكانها تقوية الأسنان وخفض معدل تسوس الأسنان.
المصدر: بي بي سي

