
حذر أطباء من أن كتم العطس، بإغلاق الأنف والفم، قد يسبب أضرارا بدنية خطيرة.
وعالج مسعفون في مدينة ليستر البريطانية رجلا، يبلغ من العمر 34 عاما، أصيب بتمزق في الحلق بعدما حاول كتم عطسة قوية.
وحينما لم يجد مكانا له، مزق الضغط الناجم عن العطس الأنسجة الرخوة في الحلق. وعلى الرغم من كون ذلك الحادث نادرا وغير معتاد، قال أطباء إن على الناس إدراك خطورة ذلك الأمر.
وحذر أطباء، عبر أحد الإصدارات التابعة لدورية “بي إم جا” الطبية، من أن كتم العطس قد يضر أيضا بالأذنين، بل وقد يؤدي إلى تمزق تمددات الأوعية الدموية في الدماغ.
وقال الرجل إنه شعر بما يشبه “فرقعة” في عنقه، حينما حدث ذلك، ثم شعر بألم شديد وصعوبة في البلع والكلام.
وحينما فحصه الأطباء، وجدوا أنه يعاني من تورم وتهتك في حلقه وعنقه.

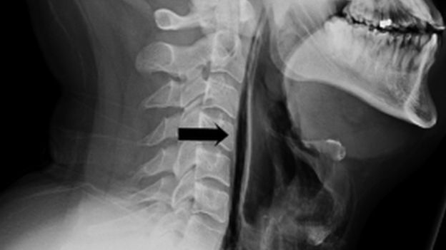
السهم الأسود يشير إلى خطوط الهواء(باللون الأسود) في منطقة الأنسجة الرخوة
وأظهر فحص بالأشعة أن الهواء هرب من قصبته الهوائية، إلى الأنسجة الرخوة من العنق، عبر التمزق.
واضطر الأطباء إلى تغذية الرجل عبر أنبوب خلال الأيام السبعة التالية، لإعطاء فرصة للأنسجة حتى تشفى.
وبعد أن قضى أسبوعا في المستشفى، عاد الرجل إلى بيته وشفي تماما.
وقال أطباء متخصصون في الأنف والأذن والحنجرة، بمستشفى ليستر الملكي حيث عولج الرجل، إن “محاولة وقف العطس، عبر إغلاق فتحتي الأنف والفم، محاولة خطيرة ويجب تجنبها”.
ويقول خبراء إن العطس يمكن أن ينقل الأمراض، وعلى الرغم من ضرورة أن تترك العطس “يخرج”، عليك أن تتأكد من منع وصول الرذاذ إلى أشخاص آخرين، وذلك عبر استخدام مناديل ورقية.
وتوصي هيئة الصحة العامة في انجلترا بأنه مع قدوم موسم الإنفلونزا، يجب تشجيع الأطفال والبالغين على تغطية أفواههم وأنوفهم بمناديل ورقية عند السعال أو العطس، ثم التخلص من تلك المناديل في سلال القمامة، وغسل أيديهم لمنع انتشار الجراثيم.

