
فيروس ميتانيموفيروس البشري (HMPV)
تثير الإصابات المتزايدة بفيروس تنفسي بالصين يعرف باسم ميتانيمو فيروس البشري (HMPV)، مخاوف العديد من الأشخاص والبلدان، بسبب تشابه أعراضه مع أعراض الفيروس المخلوي التنفسي الانفلونزا ونزلات البرد.
إذ يستحضر هذا الفيروس في أذهان العالم وباء كورونا، التي جابت العالم بأسره، وخاصةً أن الفيروس بدأ ظهوره في حينها بالصين أيضاً.
ولكن على الرغم من أوجه التشابه السطحية، إلا أن هذا الوضع مختلف تمامًا، وأقل إثارة للقلق، كما يقول الخبراء الطبيون.
أما عن ظهور الفيروس مؤخراً في الصين، فإن هذا يشير إلى تزايد رصد الحالات وتسليط الضوء عليه، وليس بالضرورة إلى بدايته الفعلية، وفقاً لأستاذ ومستشار علاج الأمراض المُعدية الدكتور ضرار البلعاوي.
ما هو الفيروس التنفسي HMPV؟
هو أحد مسببات الأمراض العديدة التي تنتشر في جميع أنحاء العالم كل عام، مسببة أمراض الجهاز التنفسي. إن فيروس HMPV شائع جداً لدرجة أن معظم الناس يصابون به وهم لا يزالون أطفالاً وقد يتعرضون لعدة إصابات في حياتهم. في البلدان ذات الطقس البارد لشهور، يمكن أن يكون لفيروس HMPV موسم سنوي، مثل الإنفلونزا، بينما في الأماكن القريبة من خط الاستواء، ينتشر الفيروس بمستويات أقل طوال العام.
يتشابه فيروس HMPV مع الفيروس المعروف في الولايات المتحدة – الفيروس المخلوي التنفسي أو R.S.V. وهو يسبب أعراضًا تشبه إلى حد كبير تلك المرتبطة بالإنفلونزا وفيروس كوفيد (Covid)، بما في ذلك السعال والحمى واحتقان الأنف والصفير.
في البلدان ذات الدخل المرتفع، نادرًا ما يكون الفيروس مميتًا؛ أما في البلدان ذات الدخل المنخفض، التي تعاني من ضعف الأنظمة الصحية وضعف الترصد، فإن الوفيات أكثر شيوعًا.
تاريخه ونشأته
تم اكتشاف الفيروس لأول مرة في هولندا عام 2001، إلّا أن الاعتقاد الشائع يفيد بأنه كان موجوداً لفترة طويلة قبل ذلك بالرغم من أنه جديد نسبياً من حيث اكتشافه.
ويضيف أن الفيروس يعتبر ثاني أكثر أسباب أمراض الجهاز التنفسي الحادة شيوعاً منذ العام 2016، لدى الأطفال الأصحاء دون سن الخامسة في العيادات الخارجية بالولايات المتحدة الأمريكية، وذلك من بعد الفيروس المخلوي التنفسي (RSV)، واللذان ينتميان لنفس العائلة.
وتُشير الدراسات إلى أنه ينتشر موسمياً، عادةً في فصلي الربيع والشتاء، وفقاً للدكتور البلعاوي.
الفئات الأكثر عرضة للإصابة
الفيروس يصيب جميع الفئات العمرية، لكنه يُشكل خطراً أكثر على الأطفال الصغار وكبار السن، والأفراد الذين يعانون من ضعف في جهاز المناعة، والأشخاص المصابين بأمراض مزمنة في الجهاز التنفسي مثل الربو، وفقاً له.
ويوضح أن العدوى تسبب في معظم الحالات أعراضاً خفيفة تشبه نزلات البرد، مثل سيلان الأنف، والسعال، والتهاب الحلق، والحمى، مستدركاً حديثه بأنه يمكن أن يُسبب في بعض الحالات، التهابات خطيرة في الجهاز التنفسي السفلي، مثل الالتهاب الرئوي والتهاب القصيبات، والتي قد تتطلب دخول المستشفى، خاصةً للفئات الأكثر عرضة للخطر.
طرق انتقاله وسرعة انتشاره
ينتشر الفيروس في المقام الأول من خلال الرذاذ أو الرذاذ المتطاير من السعال أو العطس، أو من خلال الاتصال المباشر مع شخص مصاب أو من خلال التعرض للأسطح الملوثة – وهي في الأساس نفس الطرق التي يصاب بها الأشخاص بنزلات البرد والإنفلونزا و كوفيد.
ويشير إلى أن سرعة انتشار الفيروس ليست معروفة بدقة، إذ تُجرى دراسات حالياً لفهم طبيعة انتقاله بشكل أفضل.
هل يوجد لقاح؟ أو علاج؟
لا يوجد لقاح ضد فيروس HMPV. ولكن يوجد لقاح لفيروس الورم الحليمي البشري (R.S.V.)، ويجري البحث لإيجاد لقاح يمكن أن يحمي من كلا الفيروسين بجرعة واحدة، لأنهما متشابهان. لا يوجد علاج مضاد للفيروسات مخصص لفيروس HMPV؛ حيث يركز العلاج على تخفيف الأعراض.
بنصح بالراحة وشرب الكثير من السوائل، إضافة إلى استخدام الأدوية التي تُصرف دون وصفة طبية لتخفيف الحمى والألم.
أما في حالات العدوى الشديدة، فيرى أنه قد يلزم العلاج في المستشفى، حيث يُمكن تقديم الرعاية الداعمة، مثل الأكسجين والتهوية الميكانيكية.
وبشكل عام، يُشدد الخبراء على أهمية مراقبة الوضع وتحديث المعلومات باستمرار مع تقدم الأبحاث المتعلقة بـ ميتانيمو فيروس البشري HMPV.
طرق الوقاية منه
ويقول إن الفيروس لا يُمثل حالياً تهديداً وبائياً عالمياً، إلا أن الوعي بأعراضه وطرق الوقاية منه يُعد أمراً بالغ الأهمية للحد من انتشاره وحماية الفئات الأكثر عرضة للخطر.
وينوه إلى أن طرق الوقاية من الفيروس تُشبه تلك المتبعة للوقاية من نزلات البرد والإنفلونزا، وتتمثل بالتالي:
- غسل اليدين جيداً بالماء والصابون لمدة لا تقل عن 20 ثانية.
- تجنب لمس العينين، والأنف، والفم بأيدي غير مغسولة.
- تغطية الفم والأنف بمنديل ورقي عند السعال أو العطس، ثم التخلص من المنديل على الفور.
- تنظيف وتطهير الأسطح التي يتم لمسها بشكل متكرر.
- البقاء في المنزل عند الشعور بالمرض لتجنب نقل العدوى للآخرين.
ما مدى خطورته؟
معظم حالات العدوى بفيروس HMPV خفيفة تشبه نوبات الزكام. لكن الحالات الشديدة يمكن أن تؤدي إلى التهاب القصبات الهوائية أو الالتهاب الرئوي، خاصة بين الرضع وكبار السن والأشخاص الذين يعانون من نقص المناعة. والمرضى الذين يعانون من أمراض الرئة الموجودة مسبقًا، مثل الربو أو مرض الانسداد الرئوي المزمن أو انتفاخ الرئة، هم أكثر عرضة لخطر الإصابة بنتائج خطيرة.

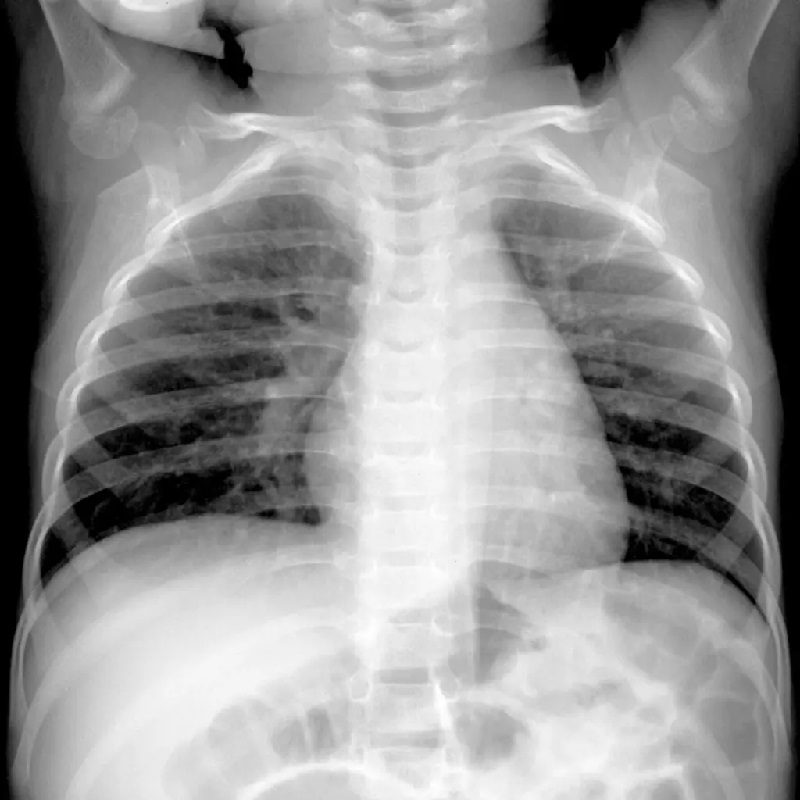
صورة بالأشعة السينية X-ray لطفل يبلغ من العمر 4 أشهر مصاب بفيروس ميتابنيوم البشري أو H.M.P.V. يمكن أن تؤدي الحالات الشديدة من المرض إلى التهاب الشعب الهوائية أو الالتهاب الرئوي، خاصة بين الرضع وكبار السن والأشخاص الذين يعانون من نقص المناعة
في الوقت الحالي، لا توجد أدلة قاطعة تُشير إلى ضرورة اتخاذ إجراءات صارمة على مستوى السفر الدولي، ومع ذلك، يُنصح باتباع إرشادات الصحة العامة للوقاية من العدوى، والتي تتضمن النظافة الجيدة”، مؤكداً أهمية مراقبة تطور الوضع الوبائي للفيروس عن كثب لتقييم الحاجة إلى اتخاذ إجراءات إضافية.
ماذا تقول الصين؟

المتحدثة باسم وزارة الخارجية الصينية ماو نينج
كما أثار المؤتمر الصحفي للمتحدثة باسم وزارة الخارجية الصينية، ماو نينج، تساؤلات حول هذا الموضوع يوم الجمعة 3 يناير.
رداٍ على ذلك، قالت ماو نينج إنه تم الإبلاغ عن المزيد من حالات عدوى الجهاز التنفسي في الجزء الشمالي خلال فصل الشتاء.
وأشارت إلى أنه قد “عقدت المراكز الوطنية الصينية لمكافحة الأمراض مؤخراً مؤتمراً صحفياً للإعلان عن تدابير للسيطرة على أمراض الجهاز التنفسي في الصين خلال فصل الشتاء”.
وأضافت “مقارنة بالعام الماضي، تبين أن هذه الأمراض أقل خطورة وأقل انتشاراً هذا العام. أريد أن أؤكد لكم أنه من الآمن السفر إلى الصين”.
مخاوف الدول المجاورة للصين
ويُراقب جيران الصين الوضع بقلق، حيث أصدرت وزارة الصحة الإندونيسية بيانا قبل بضعة أيام، جاء فيه أن إندونيسيا “تراقب انتقال فيروس HMPV في الصين، ويجري رصد نقاط الدخول القادمة إلى البلد، وهذا يشمل خطوات مثل الحجر الصحي للركاب القادمين من الخارج الذين تظهر عليهم أعراض تشبه أعراض الأنفلونزا”.
وذكرت وكالة أنتارا الإندونيسية للأنباء، أن المتحدثة باسم وزارة الصحة، فيديا فاثي، أصدرت تعليمات للسكّان باتخاذ الاحتياطات مثل استخدام الأقنعة وغسل اليدين بالصابون.
وعلى عكس إندونيسيا، قال الدكتور أتول جويال، المدير العام للخدمات الصحية الهندية، إنه لا يوجد داعي للقلق.
وفي بيان يوم الجمعة ، قال جويال إنه لم تكن هناك حالات إصابة كثيرة بالفيروس في الهند.
وأضاف “نحن نراقب الوضع باستمرار. في العام الماضي، لم تكن هناك زيادة في عدد الإصابات في شهر ديسمبر/ كانون أول”.
وكان قد نشر المركز الصيني لمكافحة الأمراض والوقاية منها، بيانات تُظهر ارتفاعاً ملحوظاً في التهابات الجهاز التنفسي خلال الأسبوع الممتد من 16 إلى 22 ديسمبر 2024؛ حيث ارتبط الفيروس بنسبة 6.2% من نتائج الاختبارات الإيجابية لأمراض الجهاز التنفسي و5.4% من حالات دخول المستشفيات بسبب أمراض الجهاز التنفسي في الصين، متجاوزاً بذلك كوفيد-19 والراينو فيروس والفيروسات الغدية.
المصدر: بي بي سي – نيويورك تايمز


تعقيب: ماذا نعرف عن الفيروس التنفسي المنتشر في الصين مؤخراً؟ – Noor in the earth الأرض